実際の施術をドクターが解説
この解説動画、写真解説では手術シーンが含まれます。
気の弱い方、血を見るのが苦手な方は閲覧をご遠慮ください。
気の弱い方、血を見るのが苦手な方は閲覧をご遠慮ください。
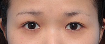
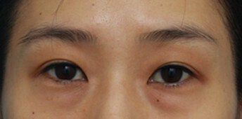
「二重まぶた・埋没法」は、メスを使わず短時間で二重を実現できる施術法として二重整形の中でも人気の高いメニューです。
切開しないため、ダウンタイムも少なく、費用もリーズナブルに抑えることが可能です。
高須クリニックの埋没法は、とれにくく、傷跡も目立ちにくい施術法です。あなたの「理想の二重の形」に向けて施術を行います。

埋没法は、高須克弥院長が学会で発表して以来、一般に普及した技術です。
簡易に二重を実現できるため、美容整形を一気に身近なものにしました。そして今日では、最も人気のある整形手術の一つになっています。

埋没法は簡単にできるメリットの反面、まれにとれやすいリスクもあります。
高須クリニックの埋没法は、高度な技術で、一般的な埋没法よりも取れにくく、手術跡も目立たない二重ラインを実現しています。また、腫れが少ない施術で行うことで、ダウンタイムも極力短くおさえることができます。

手術の前に「理想の二重の形」に向けて、じっくりとカウンセリング。鏡を見ながらシミュレーションを行いまぶたの状態も考えながらデザインをオーダーメイドでご提案します。
細かなご要望もできるだけお寄せください。失敗しないようその方の希望に合わせて理想の二重を作ります。
目指す二重に合わせて
4つの埋没法をご用意しています
リーズナブルにワンランク上の二重を作りたい方へ

両目:¥99,000(税込)
より強く、平行型二重を作りたい方へ

両目:¥187,000(税込)
たるみ感の解消、幅の広い二重を作りたい方へ

両目:¥220,000(税込)
当日からメイクできるくらい腫れにくいバレにくい

両目:¥264,000(税込)
| 4つの二重まぶた埋没法 | 半永久的な二重まぶた切開法 | ||||
|---|---|---|---|---|---|
| 施術 | 一針 | 二針 | 連続 | 裏留め | 切開法 (全切開法・ミニ切開法) |
| 施術 内容 |
糸を使ったリーズナブルな施術 (高須のスタンダード) |
切らずに幅広い二重にしたい、 皮膚や脂肪が厚い方に向いている施術 |
たるみ感の解消、幅広な二重幅を ご希望の方に向いている埋没法 |
ほぼ腫れなし。当日から アイメイクOKな施術 |
どんな二重のラインでも理想通りに、 切開法による施術 |
| 費用 (税込) |
両目 ¥99,000 |
両目 ¥187,000 |
両目 ¥220,000 |
両目 ¥264,000 |
両目 ¥275,000 |
| 手術 時間 |
約10分 | 約10分 | 約10分 | 約10分 | 約20分程度~ |
| アイ メイク |
48時間後 | 48時間後 | 48時間後 | 手術後当日 | 約1週間後(抜糸した翌日) |
埋没法とは、二重にしたいラインに合わせて、メスを使わずまぶたの皮膚の内側に特殊な細い糸を通すことで、二重まぶたを実現する方法です。
一重まぶたの方は、目を開けても、まぶたの皮膚が折りたたまれず、二重のラインを作ることができません。

糸を使って留めることで、皮膚を折れ曲がらせるための軟骨(瞼板)を連動させ、一重の方でも二重ラインを作ることができます。
ご不安な点はありますか?
埋没法は髪の毛より細い特殊な糸を使って、まぶたの裏側から二重まぶたのヒダを作りたい線にそって無数の点で固定させる二重術です。
| 片目 | ¥55,000(税込) |
|---|---|
| 両目 | ¥99,000(税込) |
【全院】
| 片目 | ¥99,000(税込) |
|---|---|
| 両目 | ¥187,000(税込) |
【全院】
二重まぶた・埋没法
女性の目もとの施術ではメイクすることを前提に行うことが多いため、当院では施術後(After)のメイクなしの写真以外に、メイクありの写真も掲載しています。

高須クリニックで使用する糸は、特許取得の極細手術糸(クイック式埋没二重専用糸)を使用。
さらに一般的な埋没法が糸を点だけで留めるのに対し、当院では2点の間を無数の点で固定します。
たくさんの点で留めるから、1点・2点・4点・6点止めよりも元に戻りにくい安定した二重ラインを実現します。


糸をまぶたに留める方法も高須ならではのこだわりが。
術後に目を閉じた状態で、糸玉が透けて見えない、そして手術跡が目立たない術式で行っています。
一般的な「結節法」と呼ばれる方法は、皮膚の表面側で糸を結ぶため、糸玉が皮膚の中に沈みにくく、術後に目を閉じた状態で糸玉が透けたり、浮き出て見えて、不自然に目立ってしまうことがあります。
高須クリニックの埋没法は、ループ状に糸を埋没させて、表面の皮膚と瞼板を線で固定します。
二重のラインが緩みにくく、外れにくいメリットがあるほか、糸玉がまぶたの裏側に沈み込むので、目を閉じた状態で、糸玉が透けて見えたり、不自然に見えることがありません。

埋没法の手術方法には「瞼板法(けんばんほう)」と「挙筋法(きょきんほう)」の2種類があります。
高須クリニックでは、比較的腫れや異物感が少なく、かつ取れにくい「瞼板法(けんばんほう)」のみを採用しています。
「挙筋法」は腫れが大きく、将来的に眼瞼下垂(がんけんかすい)という症状が出ることもあり、患者様の立場を考えご提案しておりません。
麻酔クリーム
麻酔クリームを塗る様子
高須クリニックの埋没法では、
のトリプル麻酔で、施術時の痛みを極力取り除く工夫をしています。
また、局所麻酔時に使用する麻酔針もかなり細い30~34G
(0.3mm~0.18mm)のものをご用意し、注射時の痛みが少なくなるように努力しています。



高須クリニックの埋没法で最もスタンダートな方法です。
新しく作る二重のラインに沿って、10~15mmくらいの横幅で、線で二重のラインを留めることにより、二重を実現します。
| 片目 | ¥55,000(税込) |
|---|---|
| 両目 | ¥99,000(税込) |
【全院】
※施術方法や施術の流れに関しましては、各院・各医師により異なります。予めご了承ください。
※ホームページ上で掲載されている価格は税込表示となっております。
※当院で行う治療行為は保険診療適応外の自由診療になります。
※インバウンドの方の施術料金は通常料金とは異なります。詳しくはお問い合わせ下さい。
| 片目 | ¥55,000(税込) |
|---|---|
| 両目 | ¥99,000(税込) |
【全院】
| 片目 | ¥99,000(税込) |
|---|---|
| 両目 | ¥187,000(税込) |
【全院】
二重まぶた・埋没法
| 片目 | ¥55,000(税込) |
|---|---|
| 両目 | ¥99,000(税込) |
【全院】
| 片目 | ¥99,000(税込) |
|---|---|
| 両目 | ¥187,000(税込) |
【全院】
二重まぶた・埋没法
Web予約はこちら
(初診無料 ※高須 克弥 統括院長・歯科除く)
診療・施術に関するお問い合わせ
電話受付時間 9:00〜21:00
※毎月1日の電話予約受付は9:30~21:00です



まぶたのたるみが多かったり、皮膚が厚い方の場合、一針固定法では糸が緩んで元に戻りやすいため、より強固に、安定した二重のラインを作ることができる二針固定法をおすすめしております。(痛みや腫れは一針固定法と変わりません)
まぶたの内側と外側の両方で留めるため、通常の1針固定の倍の強度があります。
二重のラインをしっかりつくれるため、目頭側まで二重の幅を作りたい人、平行型二重を作りたい人にもおすすめです。
| 片目 | ¥99,000(税込) |
|---|---|
| 両目 | ¥187,000(税込) |
【全院】
※銀座高須クリニック 木、金曜日限定 部分モニターキャンペーン。
※ドクターの指名はできません。
※各施術毎月3名限定になります。
※予約の状況によって受付できない場合があります。
※HP、SNS等掲載の部分モニターになります。術後の経過写真を撮るために、何回か通院していただく必要があります。
※患者様の状態やご希望によっては、モニター希望にそえない場合もあります。
※モニターが可能かどうかの最終判断は、診察の上で決定させていただきます。
※他の割引との併用はできません。
※ポイントの利用不可、ポイント付与対象外。
※施術方法や施術の流れに関しましては、各院・各医師により異なります。予めご了承ください。
※ホームページ上で掲載されている価格は税込表示となっております。
※当院で行う治療行為は保険診療適応外の自由診療になります。
※インバウンドの方の施術料金は通常料金とは異なります。詳しくはお問い合わせ下さい。
| 片目 | ¥55,000(税込) |
|---|---|
| 両目 | ¥99,000(税込) |
【全院】
| 片目 | ¥99,000(税込) |
|---|---|
| 両目 | ¥187,000(税込) |
【全院】
二重まぶた・埋没法
| 片目 | ¥55,000(税込) |
|---|---|
| 両目 | ¥99,000(税込) |
【全院】
| 片目 | ¥99,000(税込) |
|---|---|
| 両目 | ¥187,000(税込) |
【全院】
二重まぶた・埋没法
| 片目 | ¥55,000(税込) |
|---|---|
| 両目 | ¥99,000(税込) |
【全院】
| 片目 | ¥99,000(税込) |
|---|---|
| 両目 | ¥187,000(税込) |
【全院】
二重まぶた・埋没法

患者様が理想とする二重まぶたを手に入れるために、高須クリニックが最も重視しているのは、カウンセリングとシミュレーションです。
もし、担当医師と患者様がそれぞれ考える二重ラインが違っていては、後で後悔することになりかねません。
そのため、手術前には必ず患者様のご希望を詳細にお聞きし、希望通りのラインになるまで、何度でもシミュレーションを行います。
例えば、「このタレントさんのような目にしたい!」と雑誌の写真などを持ってきてくだされば、それを見ながら、じっくりカウンセリングすることも可能です。
可愛らしい印象のくっきり幅広い二重も、正統派美少女風の細めの二重も、出来る限りあなたのイメージ通りに仕上げます。
万が一手術日より1年以内に糸が緩んで、二重のラインが無くなってしまった場合や、はっきりしなくなってしまった場合には無料で再固定させていただきます。
※二重のラインの幅を変更したり、形を変えるのは、まぶたに過度な負担を与えるため、保証の範囲外になりますのでご了承ください。
埋没法においては、手術前に麻酔の点眼薬(目薬)をし、目元の皮膚に麻酔クリームを塗り、局所麻酔の注射を行います。
麻酔の注射時はわずかに痛みを感じるかもしれませんが、麻酔の点眼とクリームが効いているため、通常の痛みの半分くらいになります。
手術後は、2~3時間で局所麻酔が切れてきて、徐々に痛みが出る場合がありますが、それほど強い痛みではなく、わずかな痛みです。
その他、術中、術後に独自の対策を実施しています。

一般的に注射針は、より細く、より切れの良いほうが痛みが少なくなっています。高須クリニックでは、細さと切れ味を追及した質の良い注射針を使用し、注射する部位によって使用する針を替え、少しでも患者様の痛みが少なくなるように努力しています。

高須クリニックでは、手術後や注射後などの腫れを早く引かせる漢方薬「治打撲一方(ヂダボクイッポウ)」を常備しております。
患部の血行をよくするとともに、腫れや痛みをやわらげる効果があります。
外科手術後の腫れや痛みに対しても一般的に使われており、美容整形の手術や注射などの後にも使用することができます。
Web予約はこちら
(初診無料 ※高須 克弥 統括院長・歯科除く)
診療・施術に関するお問い合わせ
電話受付時間 9:00〜21:00
※毎月1日の電話予約受付は9:30~21:00です
| 施術時間 | 10分 |
|---|---|
| 術後の通院 | なし |
| 術後の腫れ | ごくわずか(個人差あり) |
| カウンセリング当日の治療 | 可能 |
| 入院の必要性 | なし |
| 麻酔 | 点眼麻酔とクリーム麻酔と局所麻酔併用 |
リスクについては、あくまで起こり得る可能性があるすべての内容について表記しています。実際にはすべてが起こらないようしっかりと対策し、細心の注意を払って施術を行っています。
二重まぶた埋没法の手術をする場合、仕事や学校を休むことができず、日にちを空けて片目ずつ行うことがあります。片目ずつ行う場合のリスクとして、両目同時に行うのに比べ、最終的な仕上がりに左右差が生じ易いということがあります。
目もとというのは、日によって微妙な変化をします。
その日の体調によっても変化し、朝か夕方かによっても変化するし、体重が1キロ変わるだけでも微妙な変化をします。
そのため、目もとのコンディションが違う状態で、日にちを空けて片目ずつ手術を行うと、どうしても仕上がりに微妙な左右差が生じてしまうことがあります。
目もとを含めて、人間の顔は誰でも左右非対称であるため、両目同時に手術を行ったとしても、パソコンで絵を書いたような完全な左右対称にすることはできません。
しかし、両目同時に手術する場合は、左右の目が同じコンディションであるし、手術のする医師が、左右の目をリアルタイムで比べながら、正確な手術ができるので、術後に生じる左右差を必要最小限に抑えることができます。
左右対称に強いこだわりのない方は、日にちを空けて片目ずつ手術しても問題ありませんが、左右対称に強いこだわりのある方は、通常通り両目同時に手術をすることをご検討ください。
二重まぶた埋没法のリスク、副作用に、仕上がりの左右差が生じる可能性というものがあります。
そもそも、人間の顔は必ず左右非対称にできています。
目も必ず非対称にできています。
眼球のついている位置、まぶたを開ける力、まぶたの厚み、まぶたの皮膚のたるみ具合、脂肪のつき具合、蒙古襞の張り方、つり目具合、タレ目具合、眉の位置、眉から目までの距離など、必ず左右非対称があり、それらにより、元の目は非対称になっています。
そのため、仮に、完璧に左右対称にデザインし、完璧に左右対称の手術を行ったとしても、元の目の土台の非対称があるため、必ずわずかな非対称は生じてしまうことになります。
また、手術というのはあくまで、生身の人間の体を生身の人間の手で扱う行為です。
コンピューターで絵を描くように、完璧に左右対称に仕上げることは現実的、物理的に不可能です。
我々高須クリニックのドクターは、なるべく左右差が出ないようには最大限の努力はさせていただきますが、上記の理由から、必ずわずかな非対称は生じることになり、コンピューターグラフィックスのような完全なシンメトリーにすることは不可能です。
二重まぶた埋没法のリスク、副作用に、仕上がりが完璧に自分の理想の形にならないことがある可能性というものがあります。
二重まぶた埋没法を希望される患者様の中には、二重の幅広、形などのデザインを非常に細かく要望される方がいらっしゃいます。
中には、憧れの芸能人などの目の写真を見せて、「この人と同じような幅、形の二重にしたい」などのようにおっしゃり、他人と全く同じ目にしようとされる方もいらっしゃいます。
しかし、手術というのはあくまで、生身の人間の体を生身の人間の手で扱う行為です。
コンピューターで絵を描くように、何でも自由自在に形を変えることは現実的、物理的に不可能です。
また、まぶたや目の構造は、人によって千差万別であり、眼球のついている位置、まぶたを開ける力、まぶたの厚み、まぶたの皮膚のたるみ具合、脂肪のつき具合、蒙古襞の張り方、つり目具合、タレ目具合、眉の位置、眉から目までの距離など、必ず解剖学的な個人差があります。
土台が違うのに、表面的に二重のラインを埋没法で作っても、他人と全く同じ目を作ることは、やはり現実的、物理的に不可能です。
我々高須クリニックのドクターは、なるべく患者様の希望の形に近づくようには最大限の努力はさせていただきますが、上記の理由から、患者様が非常に細かいデザインを要望される場合、完璧にその通りに仕上げるのは不可能である場合が多いです。
二重まぶた埋没法は、切開法のように皮膚を切開することなく、小さな針穴から細いナイロン製の糸をまぶたに埋め込んで結ぶことにより、皮膚の折れ癖を作り、二重にする方法です。
切開法に比べ、腫れが少なく、比較的簡便に二重を作ることができる方法ですが、その反面、切開法のように、癒着を作ることによって半永久的な二重を作るわけではないので、埋没糸が緩むことによって、二重のラインが弱くなって浅くなったり、幅が狭くなったり、二重のラインがなくなるという可能性があります。
一般的に、まぶたが厚い人に行う場合、幅を広く作った場合、まぶたの開きが弱い人に行う場合、アトピー性皮膚炎や花粉症などでよく目を擦る人に行う場合などに埋没糸は緩み易いです。
また、一針固定よりニ針固定のほうが固定力が強く、持ちがいいです。
糸が緩んで二重のラインがはっきりしなくなったり、二重がなくなってしまった場合、1年以内に来院していただけば、無料で再固定をさせていただきます。
ご不安な点はありますか?
ほとんどの二重は埋没法で実現できますが、希望する二重がかなり幅広かったり、まぶたが厚いなどの体質や、ご本人の癖などで短期間で取れてしまう場合があります。
以下のような項目に当てはまる方は、切開法による施術をおすすめしております。どちらが良いかわからない方もお気軽にご相談ください。
このようなご希望のある場合もご相談ください。
高須クリニックには、経験を積んだ形成外科の専門医や修正手術のプロフェッショナルが多数在籍。
しっかりとカウンセリングを行い、一人ひとりの状態と希望に合わせて、治療方法をご提案します。
Web予約はこちら
(初診無料 ※高須 克弥 統括院長・歯科除く)
診療・施術に関するお問い合わせ
電話受付時間 9:00〜21:00
※毎月1日の電話予約受付は9:30~21:00です
目元のたるみを解消したい
腫れぼったさを解消したい
Web予約はこちら
(初診無料 ※高須 克弥 統括院長・歯科除く)
診療・施術に関するお問い合わせ
電話受付時間 9:00〜21:00
※毎月1日の電話予約受付は9:30~21:00です
当サイトは高須クリニック在籍医師の監修のもとで掲載しております。














