二重まぶた埋没法2針固定+タレ目形成(グラマラスライン)の症例写真
- 年代 / 性別
- 20代 / 女性
- 診療科目
- 二重まぶた・埋没法 / 垂れ目(パンダ目)形成(グラマラスライン/下眼瞼下制術)
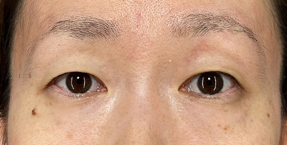
Before
After(6ヶ月後)
After(6ヶ月後の目を閉じた状態)
料金
| 二重まぶた・埋没法 | 片目 ¥55,000(税込) |
|
| 両目 ¥99,000(税込) |
全院 |
| 二重まぶた・埋没法(二針固定) | 片目 ¥99,000(税込) |
|
| 両目 ¥187,000(税込) |
全院 |
| 垂れ目(パンダ目)形成(グラマラスライン/下眼瞼下制術) | 片目 ¥148,500(税込) |
|
| 両目 ¥275,000(税込) |
|
|
| 高須幹弥医師の場合 片目 ¥192,500(税込) |
|
|
| 高須幹弥医師の場合 両目 ¥385,000(税込) |
銀座 横浜 名古屋 大阪 |
リスク・副作用・合併症
二重まぶた・埋没法
垂れ目(タレ目,パンダ目)形成(グラマラスライン/下眼瞼下制術)
術後の経過
手術前
手術前です。
埋没法2針固定で二重の幅を広げて、同時にタレ目形成(グラマラスライン)をすることになりました。
手術直後
手術直後です。
局所麻酔などの影響で腫れていますが、必ず引くので心配ありません。
6日後
6日後です。
タレ目形成の抜糸をしました。
抜糸した翌日からアイメイクすることができます。
1ヶ月後
1ヶ月後です。
大きな腫れは引いています。
6ヶ月後
6ヶ月後です。
ほぼ完全に腫れは引き、完成です。
6ヶ月後の目を閉じた状態です。
埋没法の跡はわかりません。
この症例と同じ診療科目の
症例写真はこちら
この症例の診療科目
ページはこちら
この施術を見た方は、以下の施術も見ています
※ 施術方法や施術の流れに関しましては、患者様ごとにあわせて執り行いますので、各院・各医師により異なります。予めご了承ください。
※ ホームページ上で掲載されている価格は税込表示となっております。
※ 当院で行う治療行為は保険診療適応外の自由診療になります。
施術方法は200種類以上
どんなお悩みでも
ご相談ください
当サイトは高須クリニック在籍医師の監修のもとで掲載しております。




担当医:高須幹弥 医師
診察させていただいたところ、二重のラインはあるのですが、幅がせまく、目尻側に少し幅が見えている以外はほぼ奥二重の状態でした。
また、目尻の位置がややつり上がり気味で、何となくつり目で目が小さい印象がありました。
患者様は、二重の幅を広げるのは切開法ではなく埋没法で希望されていたので、埋没法2針固定で、自然な範囲内で二重の幅を広げました。
同時にタレ目形成手術(グラマラスライン)も行いました。
タレ目形成手術は、黒目の真下が下がらないように、下まぶたの黒目の外側が自然な範囲内、安全な範囲内で下がるようにしました。
手術後は程よく自然な範囲内で二重の幅が広がり、下まぶたの外側が下がってつり目が改善し、華やかな印象になりました。
また、目が大きく見えるようになりました。