垂れ目形成と目尻切開を行った症例写真
対象クリニックアイコンの凡例
- 銀
- :銀座高須クリニック
- 横
- :横浜院
- 名
- :名古屋院
- 栄
- :栄院
- 大
- :大阪院
- 全院
- :全院
- 診療科目
- 目尻切開 / 垂れ目(パンダ目)形成(グラマラスライン/下眼瞼下制術)
Before
After(1ヶ月後)
Before
After(1ヶ月後)
料金
| 垂れ目(パンダ目)形成(グラマラスライン/下眼瞼下制術) | 片目 ¥148,500(税込) |
|
| 両目 ¥275,000(税込) |
|
|
| 高須幹弥医師の場合 片目 ¥192,500(税込) |
|
|
| 高須幹弥医師の場合 両目 ¥385,000(税込) |
銀座 横浜 名古屋 大阪 |
| 目尻切開 | 片目 ¥148,500(税込) |
|
| 両目 ¥275,000(税込) |
|
|
| 高須幹弥医師の場合 片目 ¥192,500(税込) |
|
|
| 高須幹弥医師の場合 両目 ¥385,000(税込) |
全院 |
リスク・副作用・合併症
垂れ目(タレ目,パンダ目)形成(グラマラスライン/下眼瞼下制術)
目尻切開
この症例と同じ診療科目の
症例写真はこちら
目尻切開
40代後半の女性患者様で、目尻切開をして、目を外側に広げて大きくしたいというご要望でした。
診察させていただいたところ、目尻の皮膚粘膜ポケットはそこそこ深く、2mm程度は広げられることが予想されましたので、ご要望通り目尻切開をさせていただくことになりました。
手術はW法に準じたデザインで行い、目尻が外側に広がった部分も上下に広がるようにしました。
手術後は、約2mm目尻が外側に広がり、手術前に比べて明らかに目が大きくなっているのがわかるようになりました。
目尻切開は、10代20代だけでなく、30代40代50代でも行うことが可能です。
ただし、加齢により、目の外側の皮膚のたるみが多く、目尻が隠れてしまっている場合は、上眼瞼リフト(上まぶたたるみ取り手術)や二重のラインでの上まぶたたるみ取り手術を行い、たるみを取ることも行う必要があります。
料金
| 片目 ¥148,500(税込) |
|
| 両目 ¥275,000(税込) |
|
| 高須幹弥医師の場合 片目 ¥192,500(税込) |
|
| 高須幹弥医師の場合 両目 ¥385,000(税込) |
全院 |
リスク・副作用・合併症
目尻切開
患者様は、20代女性。
目を外側に広げて大きくしたいというご希望と、もともと下まぶたは逆さまつ毛があり改善することの希望があるとともに、垂れ目にもされたいというご希望でした。
そこで両側の目尻切開と両側の下まぶたの逆さまつ毛の修正術とともに、皮膚切除も行って垂れ目も形成するようにしました。
手術前から特別目が小さいという方ではありませんが、目尻側が少し上がった吊り目傾向の方です。
目尻切開によって外側に目を大きくすると共に外側に広がった分だけ上下にも広げることを考えました。
また、側面写真から分かるように、下まぶたの逆さまつ毛があり、その修正術を行うと共に、下まぶたの外側の皮膚切除も行い、垂れ目の形成も行う方針としました。
目尻切開によって目の横幅は広がり、側面写真で見ると下まぶたの逆さまつ毛は改善しております。
皮膚切除も行っているため、垂れ目傾向にもなっているはずです。
目の横幅は広がって、吊り目は改善されております。
側面写真でも、逆さまつ毛は改善しております。
下まぶたの切開線の赤みも目立たなくなりました。
お顔の印象としては、術前よりも目は全体に大きく華やかになり、吊り目の傾向も改善されることで優しい雰囲気に変わり、患者様には大変御満足いただきました。
料金
| 片目 ¥148,500(税込) |
|
| 両目 ¥275,000(税込) |
|
| 高須幹弥医師の場合 片目 ¥192,500(税込) |
|
| 高須幹弥医師の場合 両目 ¥385,000(税込) |
全院 |
| 上まぶた(片目) ¥148,500(税込) |
|
| 上まぶた(両目) ¥275,000(税込) |
|
| 高須幹弥医師の場合 上まぶた(片目) ¥192,500(税込) |
|
| 高須幹弥医師の場合 上まぶた(両目) ¥385,000(税込) |
|
| 下まぶた(片目) ¥148,500(税込) |
|
| 下まぶた(両目) ¥275,000(税込) |
|
| 高須幹弥医師の場合 下まぶた(片目) ¥192,500(税込) |
|
| 高須幹弥医師の場合 下まぶた(両目) ¥385,000(税込) |
|
| 埋没法上まぶた(片目)一針固定 ¥55,000(税込) |
|
| 埋没法上まぶた(両目)一針固定 ¥99,000(税込) |
|
| 埋没法上まぶた(片目)二針固定 ¥99,000(税込) |
|
| 埋没法上まぶた(両目)二針固定 ¥187,000(税込) |
全院 |
リスク・副作用・合併症
目尻切開
逆さまつ毛修正
垂れ目形成と目尻切開をさせていただいた患者様が、術後半年の経過を見せに来てくださいましたので、ご紹介させていただきます。
術後は、多少の後戻りはありますが、外側下方の部分が下がり、つり目っぽい印象が改善していると思います。
キズはどこを切ったのかよくわからなくなっています。
料金
| 片目 ¥148,500(税込) |
|
| 両目 ¥275,000(税込) |
|
| 高須幹弥医師の場合 片目 ¥192,500(税込) |
|
| 高須幹弥医師の場合 両目 ¥385,000(税込) |
銀座 横浜 名古屋 大阪 |
| 片目 ¥148,500(税込) |
|
| 両目 ¥275,000(税込) |
|
| 高須幹弥医師の場合 片目 ¥192,500(税込) |
|
| 高須幹弥医師の場合 両目 ¥385,000(税込) |
全院 |
リスク・副作用・合併症
垂れ目(タレ目,パンダ目)形成(グラマラスライン/下眼瞼下制術)
目尻切開
30代女性の患者様で、つり目を改善して、目を大きくしたいというご要望でした。
診察させていただいたところ、自然で綺麗な末広型二重で、目の開きも非常によく、軽度のつり目をしていました。
目の横幅は特別狭いほうではなく、目と目の間隔も特別離れてはいませんでした。
目を大きくする手術は、眼瞼下垂手術、目頭切開、目尻切開、たれ目形成(グラマラスライン)などがありますが、この患者様の場合、まぶたの開きは充分に良いため、眼瞼下垂手術は適応にならず、また、目頭切開よりも、目尻切開やたれ目形成のほうが適応になるため、目尻切開とたれ目形成をすることになりました。
目尻切開は目尻をW字型に切開し、外側に最大限拡げたところ、約1.5mmずつ拡がり、拡がった分は上下にも拡がるようにしました。
たれ目形成は、下まぶたの黒目より外側の部分が、自然な範囲内で最大限下がるようにし、約2mmずつ下げました。
術後はつり目が改善し、目が一回り大きくなったようになりました。
たれ目形成に目尻切開を加えると、たれ目効果に相乗作用がでるため、ニーズの多い組み合わせ手術になっています。
料金
| 片目 ¥148,500(税込) |
|
| 両目 ¥275,000(税込) |
|
| 高須幹弥医師の場合 片目 ¥192,500(税込) |
|
| 高須幹弥医師の場合 両目 ¥385,000(税込) |
銀座 横浜 名古屋 大阪 |
| 片目 ¥148,500(税込) |
|
| 両目 ¥275,000(税込) |
|
| 高須幹弥医師の場合 片目 ¥192,500(税込) |
|
| 高須幹弥医師の場合 両目 ¥385,000(税込) |
全院 |
リスク・副作用・合併症
垂れ目(タレ目,パンダ目)形成(グラマラスライン/下眼瞼下制術)
目尻切開
料金
| 片目 ¥148,500(税込) |
|
| 両目 ¥275,000(税込) |
|
| 高須幹弥医師の場合 片目 ¥192,500(税込) |
|
| 高須幹弥医師の場合 両目 ¥385,000(税込) |
全院 |
リスク・副作用・合併症
目尻切開
垂れ目(パンダ目)形成(グラマラスライン/下眼瞼下制術)
20代女性の患者様で、全体的に目が小さいのが悩みで来院されました。
特に目の横幅が小さいことを気にされていたので、目頭切開と目尻切開をすることになり、また、つり目であることも気にされていたので、タレ目形成もすることになりました。
目頭切開はZ法で目頭の形が斜め下方向に尖るように約2mmずつ内側に広げました。
目尻切開は限界まで外側に広がるように行い、結果約1.5mm広がりました。
タレ目形成は、外反(アカンベーの状態)しない程度に下まぶたの外側を約2mm下げました。
目尻切開とタレ目形成を同時に行うと、下まぶたの外側は、外側にも下にも広がるため、タレ目効果が大きくなります。
術後は、小さかった目が、内側、外側、下側に広がり、一回り大きくなりました。
料金
| 片目 ¥148,500(税込) |
|
| 両目 ¥275,000(税込) |
|
| 高須幹弥医師の場合 片目 ¥192,500(税込) |
|
| 高須幹弥医師の場合 両目 ¥385,000(税込) |
全院 |
| 片目 ¥148,500(税込) |
|
| 両目 ¥275,000(税込) |
|
| 高須幹弥医師の場合 片目 ¥192,500(税込) |
|
| 高須幹弥医師の場合 両目 ¥385,000(税込) |
全院 |
| 片目 ¥148,500(税込) |
|
| 両目 ¥275,000(税込) |
|
| 高須幹弥医師の場合 片目 ¥192,500(税込) |
|
| 高須幹弥医師の場合 両目 ¥385,000(税込) |
銀座 横浜 名古屋 大阪 |
リスク・副作用・合併症
目頭切開
目尻切開
垂れ目(タレ目,パンダ目)形成(グラマラスライン/下眼瞼下制術)
20代女性です。
ご自身でアイプチを使い幅広めの平行二重を作っていたのですが、「ラインが安定しない、目をもっと大きくしたい」とのことで来院されました。
二重まぶたは全切開二重で、右まぶたはアイプチのラインに合わせてつくることとし、それに合わせて左はアイプチのラインよりもほんの少し狭い二重をつくりました。
さらに、目を大きくするため目頭切開と垂れ目形成を同時に行っております。
目頭切開はZ法で行い、垂れ目形成はCPFの短縮と余った皮膚の切除を行っております。
幅広平行二重にすると、どうしても腫れが目立ちやすくダウンタイムが長くなりやすいですが、6ヶ月後にはなじんで綺麗になり傷跡も自然になっています。
目頭切開、垂れ目形成に効果もあり、手術前は目が細くツリ目気味でしたが綺麗なアーモンドアイになりました。
料金
| 片目 ¥148,500(税込) |
|
| 両目 ¥275,000(税込) |
|
| 高須幹弥医師の場合 片目 ¥192,500(税込) |
|
| 高須幹弥医師の場合 両目 ¥385,000(税込) |
全院 |
脂肪切除をする場合や埋没法の糸を抜去する場合の費用も含まれております。
| 片目 ¥148,500(税込) |
|
| 両目 ¥275,000(税込) |
|
| 高須幹弥医師の場合 片目 ¥192,500(税込) |
|
| 高須幹弥医師の場合 両目 ¥385,000(税込) |
全院 |
| 片目 ¥148,500(税込) |
|
| 両目 ¥275,000(税込) |
|
| 高須幹弥医師の場合 片目 ¥192,500(税込) |
|
| 高須幹弥医師の場合 両目 ¥385,000(税込) |
銀座 横浜 名古屋 大阪 |
リスク・副作用・合併症
二重まぶた・全切開法
目頭切開
垂れ目(タレ目,パンダ目)形成(グラマラスライン/下眼瞼下制術)
30代女性の患者様で、つり目を改善して、目を大きくしたいというご要望でした。
診察させていただいたところ、自然で綺麗な末広型二重で、目の開きも非常によく、軽度のつり目をしていました。
目の横幅は特別狭いほうではなく、目と目の間隔も特別離れてはいませんでした。
目を大きくする手術は、眼瞼下垂手術、目頭切開、目尻切開、たれ目形成(グラマラスライン)などがありますが、この患者様の場合、まぶたの開きは充分に良いため、眼瞼下垂手術は適応にならず、また、目頭切開よりも、目尻切開やたれ目形成のほうが適応になるため、目尻切開とたれ目形成をすることになりました。
目尻切開は目尻をW字型に切開し、外側に最大限拡げたところ、約1.5mmずつ拡がり、拡がった分は上下にも拡がるようにしました。
たれ目形成は、下まぶたの黒目より外側の部分が、自然な範囲内で最大限下がるようにし、約2mmずつ下げました。
術後はつり目が改善し、目が一回り大きくなったようになりました。
たれ目形成に目尻切開を加えると、たれ目効果に相乗作用がでるため、ニーズの多い組み合わせ手術になっています。
料金
| 片目 ¥148,500(税込) |
|
| 両目 ¥275,000(税込) |
|
| 高須幹弥医師の場合 片目 ¥192,500(税込) |
|
| 高須幹弥医師の場合 両目 ¥385,000(税込) |
銀座 横浜 名古屋 大阪 |
| 片目 ¥148,500(税込) |
|
| 両目 ¥275,000(税込) |
|
| 高須幹弥医師の場合 片目 ¥192,500(税込) |
|
| 高須幹弥医師の場合 両目 ¥385,000(税込) |
全院 |
リスク・副作用・合併症
垂れ目(タレ目,パンダ目)形成(グラマラスライン/下眼瞼下制術)
目尻切開
20代女性の患者様で、目を大きくしたいというご要望でした。
診察させていただいたところ、眼球自体はそれほど大きくなく、蒙古襞はあまり張っていませんでした。
コンピューターシミュレーションをしてお見せしたところ、目尻切開と垂れ目形成(グラマラスライン)を行うことになりました。
目尻切開は自然で安全な範囲内で最大限広げ、垂れ目形成は黒目の下が下がって下三白眼にならないように黒目の外側だけが下がるようにしました。
手術後は、ツリ目が解消し、程よく目が大きくなり、華やかな印象の目になりました。
料金
| 片目 ¥148,500(税込) |
|
| 両目 ¥275,000(税込) |
|
| 高須幹弥医師の場合 片目 ¥192,500(税込) |
|
| 高須幹弥医師の場合 両目 ¥385,000(税込) |
全院 |
| 片目 ¥148,500(税込) |
|
| 両目 ¥275,000(税込) |
|
| 高須幹弥医師の場合 片目 ¥192,500(税込) |
|
| 高須幹弥医師の場合 両目 ¥385,000(税込) |
銀座 横浜 名古屋 大阪 |
リスク・副作用・合併症
目尻切開
垂れ目(タレ目,パンダ目)形成(グラマラスライン/下眼瞼下制術)
20代女性の患者様で、目元のご相談で来院されました。
幅広い二重にしたいということと、目を大きくしたいというご要望でした。
診察させていただいたところ、わずかな幅の非対称はあるものの、綺麗な二重まぶたをしてらっしゃいました。
蒙古襞の張りが少なく、それなりに幅のある二重だったので、平行型二重をしてらっしゃいました。
患者様はもっと幅の広い二重にしたいというご要望だったので、二重まぶたを全切開法で幅を広げることになりました。
目を大きくする目的で、目尻切開とタレ目形成(グラマラスライン)も同時に行うことになりました。
二重まぶた全切開法は、皮膚切除は行わず、平行型のまま二重の幅を広げるのみにし、眼窩内脂肪やROOFの切除も行いませんでした。
目尻切開は約2mmずつ外側に広げることができ、タレ目形成は下まぶたの黒目の外側の部分を約2mm下げることができました。
術後は幅広平行型二重になり、目が大きくもなりました。
料金
| 片目 ¥148,500(税込) |
|
| 両目 ¥275,000(税込) |
|
| 高須幹弥医師の場合 片目 ¥192,500(税込) |
|
| 高須幹弥医師の場合 両目 ¥385,000(税込) |
全院 |
脂肪切除をする場合や埋没法の糸を抜去する場合の費用も含まれております。
| 片目 ¥148,500(税込) |
|
| 両目 ¥275,000(税込) |
|
| 高須幹弥医師の場合 片目 ¥192,500(税込) |
|
| 高須幹弥医師の場合 両目 ¥385,000(税込) |
全院 |
| 片目 ¥148,500(税込) |
|
| 両目 ¥275,000(税込) |
|
| 高須幹弥医師の場合 片目 ¥192,500(税込) |
|
| 高須幹弥医師の場合 両目 ¥385,000(税込) |
銀座 横浜 名古屋 大阪 |
リスク・副作用・合併症
二重まぶた・ミニ切開法(部分切開)
目尻切開
垂れ目(タレ目,パンダ目)形成(グラマラスライン/下眼瞼下制術)
この症例の診療科目
ページはこちら
この施術を見た方は、以下の施術も見ています
※ 施術方法や施術の流れに関しましては、患者様ごとにあわせて執り行いますので、各院・各医師により異なります。予めご了承ください。
※ ホームページ上で掲載されている価格は税込表示となっております。
※ 当院で行う治療行為は保険診療適応外の自由診療になります。
施術方法は200種類以上
どんなお悩みでも
ご相談ください
当サイトは高須クリニック在籍医師の監修のもとで掲載しております。


担当医:平野正之 医師
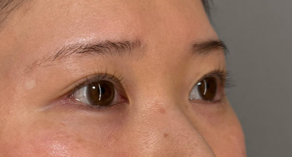
目を目尻切開とタレ目で大きくしたいとのご要望でした。
タレ目手術は結膜側から行っています。
斜めの角度から見ても、自然に可愛く目が大きくなっているのがわかるでしょうか。
目尻の形を比べると目尻切開の効果もよくわかりますね。
タレ目の手術で心掛けているのは、カクッとした、一部分だけ不自然な垂れ目にしないということです。
垂れ具合をうまくコントロールできないと、丸くて美しいグラマラスラインは作れないのです。
ぱっと見では、どこを手術したか分からなくてもなんとなく目が大きく見える。
そのような印象が出るのが大切だと思っています。