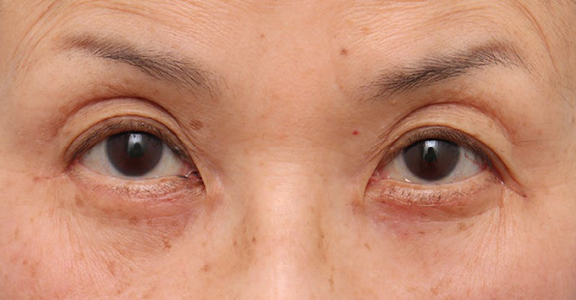
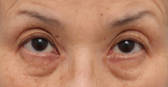
ハムラ法を行った症例写真
- 診療科目
- 表ハムラ・裏ハムラ法
Before
After
この症例と同じ診療科目の
症例写真はこちら
この症例の診療科目
ページはこちら
この施術を見た方は、以下の施術も見ています
※ 施術方法や施術の流れに関しましては、患者様ごとにあわせて執り行いますので、各院・各医師により異なります。予めご了承ください。
※ ホームページ上で掲載されている価格は税込表示となっております。
※ 当院で行う治療行為は保険診療適応外の自由診療になります。
施術方法は200種類以上
どんなお悩みでも
ご相談ください
当サイトは高須クリニック在籍医師の監修のもとで掲載しております。

担当医:平野正之 医師
クマが改善しているだけでなく、なんとなくリフトアップしたかのように見えると思います。
これがハムラ法のいい効果です。
美容業界では脱脂に勝る勢いでハムラ法が流行っているように感じます。
カウンセリングでクマとりの方法を詳しく説明してほしいと聞かれることも増えました。
さて、ハムラ法は脱脂より優れているのでしょうか?個人的に感じているハムラ法の利点は
(1)中顔面がリフトアップしたように見える(こともある)
(2)凹んでしまう合併症が起こらない
の2点です。元からある脂肪を移動させて、膨らみの下にできている影の部分を埋めることで目の下が平坦に近づきリフトアップしているように見せることができます。
(1)で「こともある」と書いているのは、それなりの量のクマの脂肪がないと、この凹みが埋まらないので、ある程度脂肪がないとこの効果は起きないためです。
ですので一生懸命ハムラ法について調べてきてくださる若年層の方などでは、脱脂だけの手術と仕上がりが変わらないと感じることも多いです。その場合、脱脂の方がダウンタイムが短いため脱脂の施術をした方が良いと思われます。
(2)の凹んでしまう合併症が起きないというのもハムラ法の利点の一つです。
目の下の脱脂を行うと、脂肪を摂り過ぎた場合に凹んでしまい、手術後逆に老けて見えたり、しわが増えたりします。
また凹んでしまった部分を完全に修正するというのが非常に難しいのです。
たとえハムラ法で手術を受けてあまり変わらなかったとしても、次の手術で脱脂を行なってリカバーはできますが、脱脂で摂り過ぎた場合、脂肪移植をしても思ったように修正するのは難しいです。
(実際には脂肪移植の定着はそんなに良くないからです)
さて、引き続きデメリットですが
・腫れる
・外反しやすい
この2つが術者がよく感じるデメリットでしょう。
普通の脱脂に比べて、リガメントを外したり、脂肪を縫い付けたりといった作業工程が多いのでハムラ法は単純な脱脂の3倍くらいの時間がかかります。
手術というのは時間をかけるほど腫れてダウンタイムが長くなるのです。
もう一つ厄介な合併症が外反です。脂肪を下方の組織に縫い付けることで下眼瞼が牽引されあっかんべーの状態になってしまうという合併症が出やすいのです。この状態が多くの場合3ヶ月程度続きます。
3ヶ月あっかんべーの状態が続くというのは、結果が最終的に良くなったとしても美容手術としては失敗でしょう。
ダウンタイムまで含めての結果なのです。
ここまでメリットとデメリットを書いてきました。結論としてわたしがハムラ法がおすすめだと思う方は「単純な脱脂より仕上がりが良くなりそうで、下眼瞼が緩んでおらず、外反しなさそう」な患者様です。