対象クリニックアイコンの凡例

:銀座高須クリニック
:横浜院
:名古屋院
:栄院
:大阪院
全院
:全院
年代 / 性別
70代 / 女性
診療科目
表ハムラ・裏ハムラ法
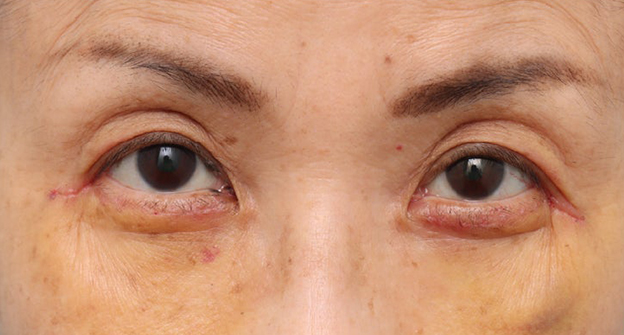
表ハムラ・裏ハムラ法,目の下のたるみ・黒クマに対して表ハムラ法を行った70代女性の症例写真,Before,ba_hamra004_b01.jpg

Before

表ハムラ・裏ハムラ法,目の下のたるみ・黒クマに対して表ハムラ法を行った70代女性の症例写真,After(1ヶ月後),ba_hamra004_b01.jpg

After(1ヶ月後)

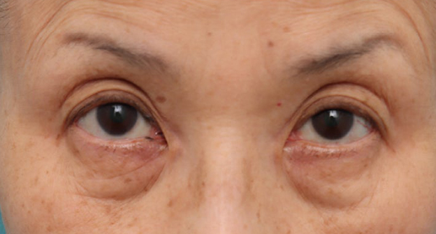
表ハムラ・裏ハムラ法,目の下のたるみ・黒クマに対して表ハムラ法を行った70代女性の症例写真,Before,ba_hamra004_b02.jpg

Before

表ハムラ・裏ハムラ法,目の下のたるみ・黒クマに対して表ハムラ法を行った70代女性の症例写真,After(1ヶ月後),ba_hamra004_b02.jpg

After(1ヶ月後)

70代女性の患者様です。
長年目の下のたるみや黒クマが気になっている。老けて見える印象を改善したい。
また、涙袋の立体感を維持して自然で若々しい印象にしたい、と希望されていました。

術前の診断では、下記が見られました。
・下眼瞼脂肪突出(眼窩脂肪ヘルニア)
・皮膚の弛緩
・軽度の骨萎縮(眼窩縁・頬部)
・涙袋(眼輪筋前方ボリューム)の減少
(70代では皮膚の弾力低下と脂肪の隔膜(septum orbitale)の脆弱化により、 脂肪が前方に突出して「膨らみ+くぼみ(陰影クマ)」が強調されることが多いです。)

こちらの患者様には、脂肪注入なしで外科的処置による施術となる「表ハムラ法(Transcutaneous Hamra technique)」を行いました。
1.下まつげ下1~2mmの切開線を設定。
2.眼輪筋下で剥離し、眼窩脂肪3コンパートメントを露出。
3.脂肪を切除せず、骨膜下へ再配置(リポジショニング)。→眼窩下縁(tear trough~頬骨上)を滑らかに補正。
4.余剰皮膚を適度に切除し、眼輪筋・皮膚を丁寧に縫合。
5.同時に、涙袋形成(眼輪筋形成)を調整。

Afterの写真は1ヶ月後のものですが、この施術のダウンタイムはまだ6ヶ月程度はかかります。

術後の経過

■術後の経過:正面

施術前

表ハムラ・裏ハムラ法,目の下のたるみ・黒クマに対して表ハムラ法を行った70代女性の症例写真,施術前,mainpic_hamra004a.jpg
村上尚来医師からのコメント

施術前です。

1週間後

表ハムラ・裏ハムラ法,目の下のたるみ・黒クマに対して表ハムラ法を行った70代女性の症例写真,1週間後,mainpic_hamra004b.jpg
村上尚来医師からのコメント

1週間後です。

1ヶ月後

表ハムラ・裏ハムラ法,目の下のたるみ・黒クマに対して表ハムラ法を行った70代女性の症例写真,1ヶ月後,mainpic_hamra004c.jpg
村上尚来医師からのコメント

1ヶ月後です。

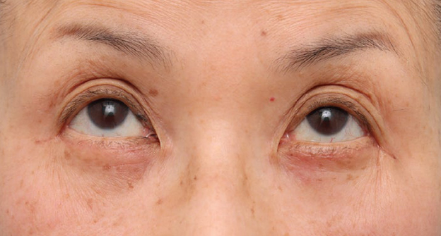
■術後の経過:上向き

施術前

表ハムラ・裏ハムラ法,目の下のたるみ・黒クマに対して表ハムラ法を行った70代女性の症例写真,施術前,mainpic_hamra004d.jpg
村上尚来医師からのコメント

施術前です。

1週間後

表ハムラ・裏ハムラ法,目の下のたるみ・黒クマに対して表ハムラ法を行った70代女性の症例写真,1週間後,mainpic_hamra004e.jpg
村上尚来医師からのコメント

1週間後です。

1ヶ月後

表ハムラ・裏ハムラ法,目の下のたるみ・黒クマに対して表ハムラ法を行った70代女性の症例写真,1ヶ月後,mainpic_hamra004f.jpg
村上尚来医師からのコメント

1ヶ月後です。

この症例と同じ診療科目の
症例写真はこちら

表ハムラ・裏ハムラ法

紹介するのは眼瞼下垂手術と表ハムラ法を行った患者様です。
おでこのシワと視界の悪さに悩まれていました。
眼瞼下垂の症状として、オペさせていただきました。
また、下瞼のたるみと膨らみも気になっていたため皮膚切除と脂肪移動の表ハムラも同時に実施いたしました。

続きを見る

料金

片目(通常の手術の場合)
¥385,000(税込)
両目(通常の手術の場合)
¥770,000(税込)
片目(筋膜移植の場合)
¥605,000(税込)
両目(筋膜移植の場合)
¥990,000(税込)

全院

表ハムラ法(両目)
¥770,000(税込)
裏ハムラ法(両目)
¥770,000(税込)

銀座

横浜

名古屋

大阪

ハムラ法の患者様です。
クマが改善しているだけでなく、なんとなくリフトアップしたかのように見えると思います。
これがハムラ法のいい効果です。
美容業界では脱脂に勝る勢いでハムラ法が流行っているように感じます。
カウンセリングでクマとりの方法を詳しく説明してほしいと聞かれることも増えました。

さて、ハムラ法は脱脂より優れているのでしょうか?個人的に感じているハムラ法の利点は
(1)中顔面がリフトアップしたように見える(こともある)
(2)凹んでしまう合併症が起こらない
の2点です。元からある脂肪を移動させて、膨らみの下にできている影の部分を埋めることで目の下が平坦に近づきリフトアップしているように見せることができます。

(1)で「こともある」と書いているのは、それなりの量のクマの脂肪がないと、この凹みが埋まらないので、ある程度脂肪がないとこの効果は起きないためです。
ですので一生懸命ハムラ法について調べてきてくださる若年層の方などでは、脱脂だけの手術と仕上がりが変わらないと感じることも多いです。その場合、脱脂の方がダウンタイムが短いため脱脂の施術をした方が良いと思われます。

(2)の凹んでしまう合併症が起きないというのもハムラ法の利点の一つです。
目の下の脱脂を行うと、脂肪を摂り過ぎた場合に凹んでしまい、手術後逆に老けて見えたり、しわが増えたりします。
また凹んでしまった部分を完全に修正するというのが非常に難しいのです。
たとえハムラ法で手術を受けてあまり変わらなかったとしても、次の手術で脱脂を行なってリカバーはできますが、脱脂で摂り過ぎた場合、脂肪移植をしても思ったように修正するのは難しいです。
(実際には脂肪移植の定着はそんなに良くないからです)

さて、引き続きデメリットですが
・腫れる
・外反しやすい
この2つが術者がよく感じるデメリットでしょう。

普通の脱脂に比べて、リガメントを外したり、脂肪を縫い付けたりといった作業工程が多いのでハムラ法は単純な脱脂の3倍くらいの時間がかかります。
手術というのは時間をかけるほど腫れてダウンタイムが長くなるのです。

もう一つ厄介な合併症が外反です。脂肪を下方の組織に縫い付けることで下眼瞼が牽引されあっかんべーの状態になってしまうという合併症が出やすいのです。この状態が多くの場合3ヶ月程度続きます。
3ヶ月あっかんべーの状態が続くというのは、結果が最終的に良くなったとしても美容手術としては失敗でしょう。
ダウンタイムまで含めての結果なのです。

ここまでメリットとデメリットを書いてきました。結論としてわたしがハムラ法がおすすめだと思う方は「単純な脱脂より仕上がりが良くなりそうで、下眼瞼が緩んでおらず、外反しなさそう」な患者様です。

続きを見る

料金

表ハムラ法(両目)
¥770,000(税込)
裏ハムラ法(両目)
¥770,000(税込)

銀座

横浜

名古屋

大阪

紹介するのは表ハムラの患者様です。
下瞼の色味と膨らみによるクマが気になるとのことでいらっしゃいました。
脱脂のみでは凹みがでて色合いが増悪する可能性が考えられたため表ハムラ法で施術しました。
3ヶ月経つと、傷も目立ちにくくなります。

続きを見る

料金

表ハムラ法(両目)
¥770,000(税込)
裏ハムラ法(両目)
¥770,000(税込)

銀座

横浜

名古屋

大阪

表ハムラを施術させて頂いた患者様です。
目の下のたるみと膨らみを気にしていらっしゃいました。
表ハムラ法で皮膚切除し脂肪を移動させて、クマを改善しました。
スッキリとした目元になりました。
この症例のAfterのお写真は、ダウンタイム終了時ではなく、施術後1ヶ月で傷が1番目立つ時期です。

続きを見る

料金

表ハムラ法(両目)
¥770,000(税込)
裏ハムラ法(両目)
¥770,000(税込)

銀座

横浜

名古屋

大阪

この症例の診療科目
ページはこちら

性別
年代
施術カテゴリ
診療科目
上記の施術科目と同時に行った診療科目
ドクター
 

※ 施術方法や施術の流れに関しましては、患者様ごとにあわせて執り行いますので、各院・各医師により異なります。予めご了承ください。
※ ホームページ上で掲載されている価格は税込表示となっております。
※ 当院で行う治療行為は保険診療適応外の自由診療になります。

施術方法は200種類以上

どんなお悩みでも
ご相談ください

当サイトは高須クリニック在籍医師の監修のもとで掲載しております。

お問い合わせ

高須クリニックお客様コールセンター

フリーダイヤル

0120-5587-10 0120-5587-35

電話受付時間:9:00〜21:00
※毎月1日の電話予約受付は9:30~21:00です
診療時間:10:00〜19:00

SNS
オフィシャルアカウント

  • 【高須クリニック】LINE公式アカウント
  • Youtube
  • Instagram
  • X(旧Twitter)
  • ブログ

全国の高須クリニックの
医院一覧